Kafatası boşluğuna yerleşmiş olan beyin, yaklaşık 100 milyar sinir hücresinden oluşmuştur.
Erkekte 1200 – 1350, kadında 1000 – 1250 gram ağırlığa sahiptir.
Embriyo 1 aylıkken farklılaşmaya başlar.
Beyin vücut ağırlığının % 2 ‘si kadar olsa da glikoz ve oksijen taşıyan kanın yaklaşık %20’sini kullanmaktadır.

Beynin tek enerji kaynağı glikozun oksijenli solunumda yıkılması olması ve beyinde glikoz deposu bulunmaması sebebiyle kan akışının düzenli şekilde devamı şarttır.
İnsan beyni 3 temel kısımda incelenir.
Ön beyin
İnsan beyninin en büyük parçasıdır. Diğer beyin kısımlarını üstten örter.
Uç ve ara beyin olmak üzere 2 temel parçadan oluşur.
Uç beyin, beyin yarımkürelerinden, ara beyin ise talamus epitalamus ve hipotalamustan ibarettir.
a) Uç beyin
İki yarımküreden ibarettir.
Yarımküreler birbirlerine üstten nasırlı cisim, alttan beyin üçgeni denilen bağlarla bağlanmıştır.
Bu bağlar, nöronların aksonlarından oluşmuştur.
Bu sayede sağ ve sol yarımküreler arasında iletişim sağlanır.
Beyin yarımkürelerini enine bölen derin yarığa Rolando yarığı adı verilir.
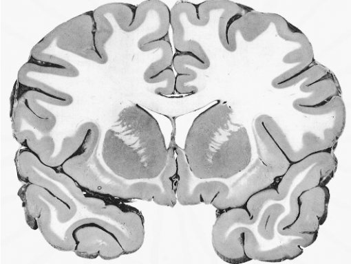
Beyin yarımkürelerinden enine kesit alındığında, dış kısımda boz madde, iç kısımda ise ak madde gözlenir.
Boz madde sinir hücrelerinin gövdelerinden, ak madde ise myelinli sinirlerin akson uzantılarından oluşmuştur.
Myelin, beyaz ve yağlı bir tabaka olduğundan böyle bir görünüm oluşur.
Gri maddeden meydana gelmiş yaklaşık 5 mm kalınlığındaki beyin kabuğuna serebral korteks denir.
Serebral korteksin her iki yarım küresi de,
Frontal ( ön )
Parietal
Temporal
Oksipital
olmak üzere 4 loba sahiptir.

Bu lopların her birine vücudun değişik alanlarından impulslar gelir ve buralardan çıkan impulslar vücudun değişik kısımlarına gönderilir.
Bu alanlar, görevlerine göre 3 başlık altında incelenebilir.
Motor alanları ( Hareket merkezleri )
Kol, bacak, yüz, dil kaslarını idare eden merkezler bulunur.
Bu alanların büyüklüğünü, daha çok buraya uyarı gönderen reseptörlerin sayısı ve yoğunluğu belirler.
Sağ ve sol yarımkürelerden çıkan sinirler, omurilik soğanından geçerken yönlerini değiştirirler.
Sağ yarım küreden çıkanlar vücudun sol tarafına, sol yarımküreden çıkanlar vücudun sağ tarafına giderler.
Duyu alanları
Duyu organlarından gelen impulsların alındığı çeşitli merkezler bulunur.
Görme, işitme, tat alma, temas, acı, sıcak, soğuk gibi duyuların alınması sağlanır.
Duyu ve motor alanlar arasında bağlantı mevcuttur.
Örneğin elimizi ateşe temas ettirdiğimizde sıcaklığın hissedilmesi duyu alanları tarafından, elin çekilmesi ise motor alanlar tarafından idare edilir.
Ruhsal fonksiyon alanları
His, irade, hafıza, düşünce, zekâ, muhakeme ve yaratıcılık gibi ruhsal fonksiyonları yöneten merkezler bulunur.
Beyindeki bir bölümün görevi, bu bölümün tahrip edilmesi veya çıkarılması sonucu, canlıda meydana gelen değişikliklerle anlaşılabilir.

Bu amaçla yapılan deneylerde, beyin yarım küreleri çıkartılmış bir güvercinin itilirse yürüyebildiği, uyarılmadıkça uçamadığı, havaya atılırsa uçabildiği, açlık hissetmediği, önüne konulan yiyeceği yemediği, ağzına besin verildiğinde yediği, yanına kedi veya köpek yaklaştığında hiçbir tepki göstermediği, bir yerine iğne batırıldığında çektiği, dış etkilere karşı duyarlı olmadığı görülmüştür.
Bu canlının hareketlerinin tümünün bilinçsiz olduğu gözlemlenmiştir. Ancak sindirim, solunum ve dolaşım olayları devam ettiği için canlılık devam edebilir.
PDF DOSYASI İÇİN



